Placement of dental crowns on devitalized teeth
- Andrei Serdean
- Feb 12, 2023
- 2 min read
Updated: Oct 11, 2023
What is the purpose of dental crowns?
Dental crowns are dental restorations that completely cover the visible surface of the tooth, protecting it from damage and wear.
They are usually made of ceramic or porcelain, which can be colored to match the shade of the adjacent tooth to create a natural look.
How are dental crowns placed?
Placing a dental crown on a root canal usually involves several steps.
First, the dentist must prepare the tooth by removing any decayed tissue and shaping the tooth to fit the crown perfectly.
Sometimes it may be necessary to reconstruct the tooth beforehand, using a filling material to strengthen it.
Next, your dentist will take an impression of the prepared tooth and the opposing tooth to create a custom crown that fits your tooth perfectly.
Once the crown is ready, the dentist places the crown on the tooth. He or she adjusts the crown to fit the prepared tooth perfectly and ensures a comfortable and functional fit.
It should be noted that sometimes a temporary crown can be placed.
The crown is attached to the tooth with a specialized fixative that adheres to the surface of the prepared tooth. The dentist takes care to remove any excess and polish the crown for optimal aesthetics.
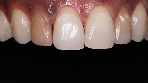
Case study of a patient of one of my patients who was treated in the upper jaw with the help of dental crowns.
The benefits of dental crowns
The dental crown offers several advantages.
First of all, its main function is to protect a devitalized or damaged tooth, but it can also prevent potential damage to the jaw and other teeth.
When a tooth is devitalized or damaged, it becomes more fragile and prone to fracture.
If it is not protected by a dental crown, it can break into small pieces, which may require complete extraction, a much more extensive treatment than a simple crown.
In addition to protecting teeth, dental crowns can also limit the damage that a diseased tooth can cause to neighboring teeth.
Diseased teeth can carry bacteria and germs, which can spread to other teeth and cause cavities and other dental problems.
By protecting diseased teeth with a dental crown, the risk of spreading dental disease is reduced, helping to maintain overall dental health.
It can also restore the functionality of the tooth, improve chewing and make speaking easier.
The installation of dental crowns in Seine et Marne
Dentists use state-of-the-art techniques to create custom dental crowns that perfectly match the shape and color of a patient's teeth. If you have a root canal or damaged tooth, talk to your dentist and he or she will help you determine if a dental crown is right for you.





Comments